‹{’J@ŒúŽu
Šw”N M2
Œ¤‹†“à—e •\–ʉüŽ¿
D‚«‚È‚à‚Ì ƒƒJƒSƒWƒ‰
À‰E‚Ì–Á —Í‚±‚»ƒpƒ[
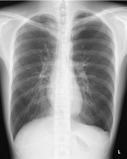
Fig.1 Result of X-ray analysis on MIYATANI.