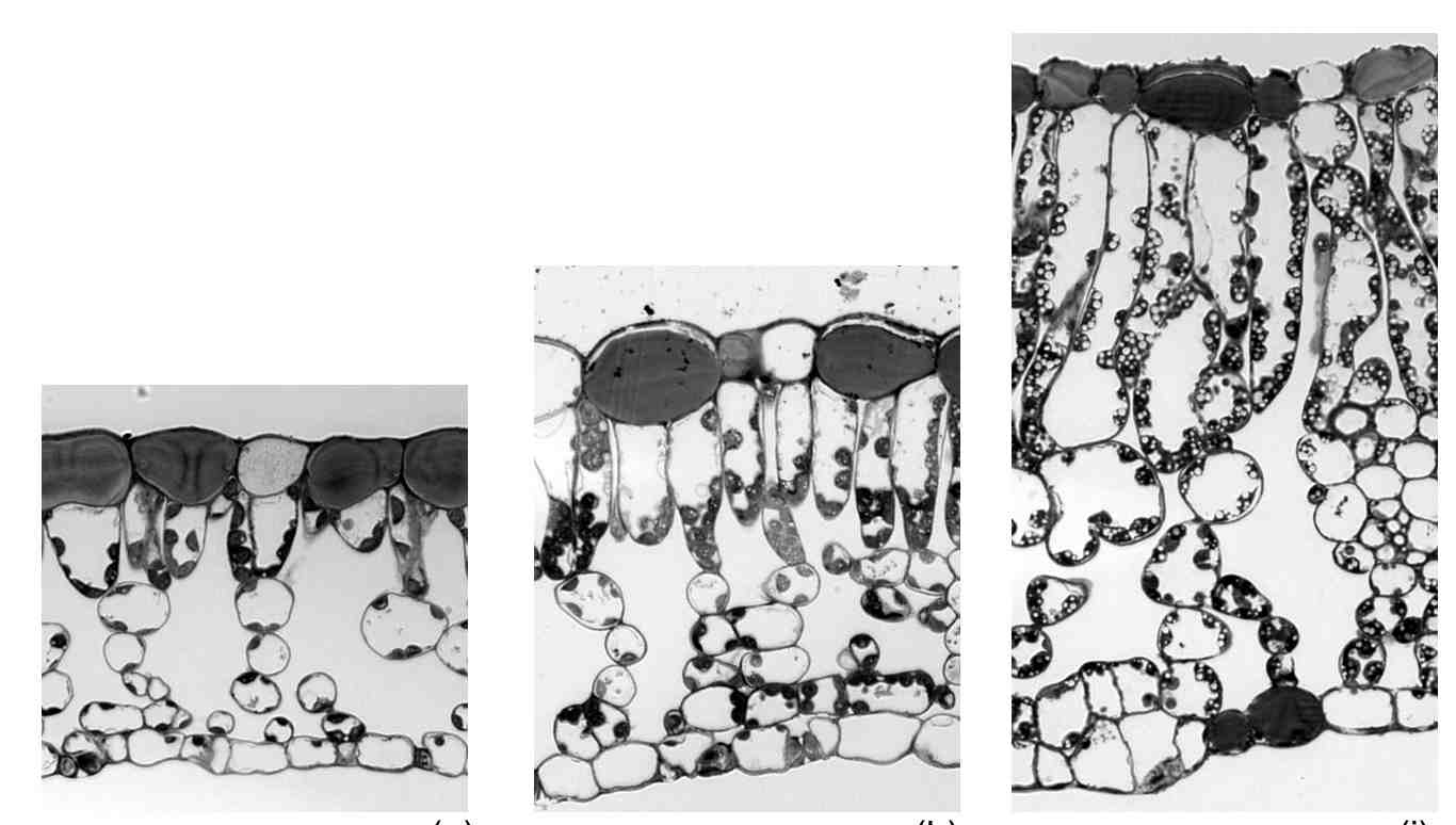
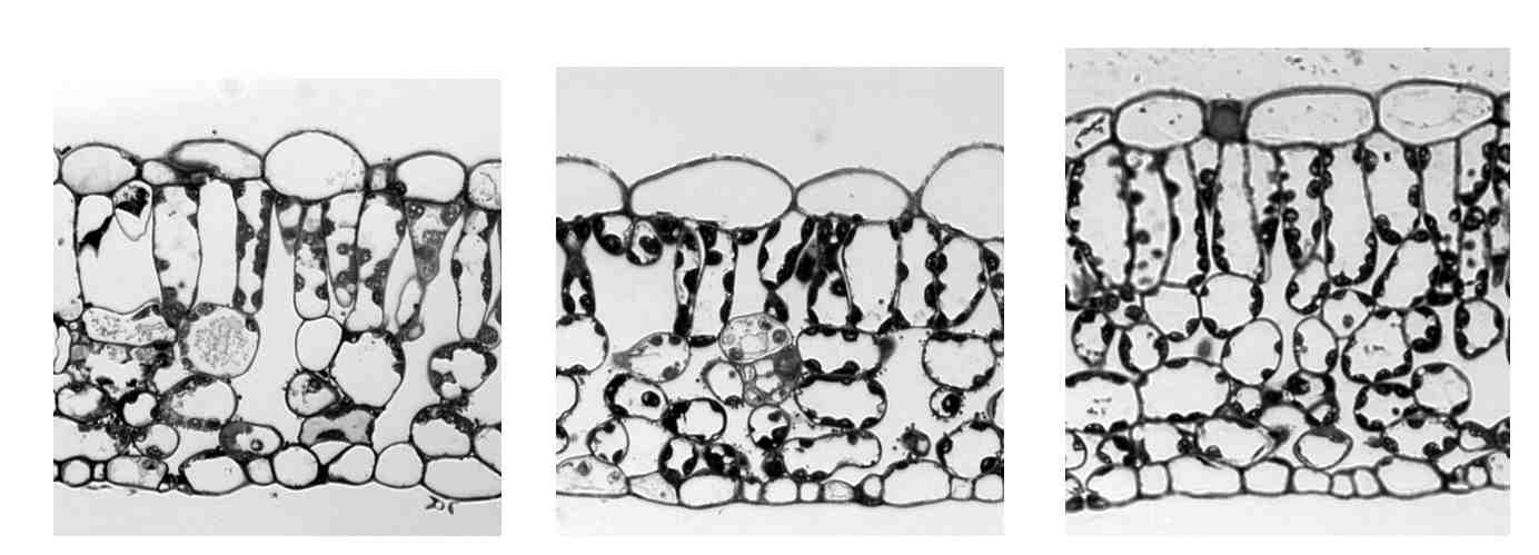
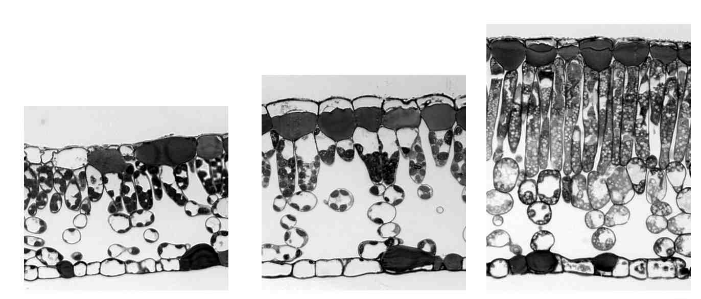
落葉広葉樹 光環境による葉の断面構造の変化

5% of sun 17%of sun 100% of sun
light_section1.jpg
イロハモミジ Acer palmatum
light_section2.jpg
イタヤカエデAcer mono
light_section3.jpg
ウリハダカエデAcer rufinerve